Actualidad

Alertan sobre el linfoma de células del manto, un cáncer poco frecuente y de difícil diagnóstico

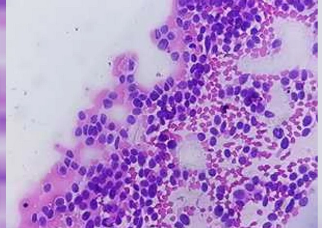
El linfoma de células de manto, un cáncer hematológico agresivo que se origina en las células B del sistema linfático y que, muchas veces, se diagnostica en estadios avanzados, requiere una mayor visibilidad en la agenda pública.

Así advirtieron desde la Asociación Civil Linfomas Argentina (ACLA), a la vez que indicaron que, aunque representa el 5% de los casos de linfoma, eso se traduce en cerca de 450 casos por año en Argentina.

“Se da con mayor frecuencia en varones mayores de 60 años y se caracteriza por una alteración genética específica, que desencadena una proliferación celular descontrolada y puede afectar no solo a los ganglios linfáticos, sino también a otros órganos como la médula ósea, el bazo, el hígado, el tracto gastrointestinal, la piel, los pulmones y el sistema nervioso central”, describió la Dra. M. Silvana Cugliari, jefa del Departamento de Hematología del Instituto de Oncología Ángel H. Roffo-UBA.

Los pacientes con esta enfermedad pueden presentar pérdida del apetito y de peso, fiebre, sudores nocturnos, náuseas y/o vómitos, indigestión, dolor o distensión abdominal, sensación de saciedad o molestias debido al agrandamiento de las amígdalas, el hígado o el bazo; presión o dolor en la zona lumbar que a menudo se extiende hacia una o ambas piernas o fatiga a causa de la anemia.

El problema, según explican los especialistas, es que en sus primeras etapas puede pasar inadvertido porque algunos de los síntomas que podrían indicar la presencia de este tipo de linfoma pueden confundirse con otras afecciones más comunes. En muchos casos, el diagnóstico llega cuando la enfermedad ya comprometió varios órganos y se requiere un tratamiento intensivo.

Para llegar al diagnóstico, partiendo de la evaluación clínica y de la sintomatología del paciente, la confirmación se da mediante estudios específicos que debe solicitar el profesional de la salud.

“Es importante prestar atención a los síntomas, no subestimar cambios persistentes en el cuerpo y consultar al médico ante la presencia de signos sospechosos. Conocer la existencia de este tipo de linfoma, aunque poco frecuente, puede marcar la diferencia entre un diagnóstico temprano y una enfermedad avanzada”, sostuvo Haydée González, paciente y presidente de A.C.L.A (Asociación Civil Linfomas Argentina.

¿Cómo se trata el linfoma de células del manto?

Para determinar el tratamiento más conveniente, el equipo médico, liderado por un oncohematólogo, considerará la edad, el estado general de salud y funcional del paciente, además de algunos parámetros de estudios de laboratorio como el nivel de deshidrogenasa láctica y el conteo de glóbulos blancos.

Según el perfil de paciente, por lo tanto, el linfoma de células de manto puede tratarse con quimioterapia, anticuerpos monoclonales o, más recientemente, con terapias dirigidas, de administración oral, con mejor perfil de seguridad, tasas de respuesta más elevadas y la posibilidad de controlar la enfermedad por más tiempo3, una de las cuales acaba de ser aprobada para su uso en esta indicación.

“Estamos viendo un cambio de paradigma en el tratamiento de esta enfermedad. Aun así, es frecuente que los pacientes desarrollen recaídas, por lo que es una buena noticia que cada vez haya más y mejores herramientas para su abordaje, para que podamos ofrecerles a los pacientes diferentes opciones en el camino con su enfermedad”, sostuvo la Dra. Cugliari.

“El acceso al diagnóstico, a profesionales capacitados y a tratamientos innovadores debe ser una prioridad para garantizar la equidad en la atención oncológica”, concluyeron desde la organización de pacientes.

Fuente: NA

Publicaciones relacionadas

Botón volver arriba